Tocantins, Brazil: Doktor di sini terkejut selepas menemui bayi yang telah mengeras seperti batu di dalam perut seorang wanita berusia 84 tahun.
Kali terakhir wanita terbabit hamil adalah pada 44 tahun lalu dan ketika itu dia tidak melahirkan anak kerana diberitahu janin berkenaan telah mati.
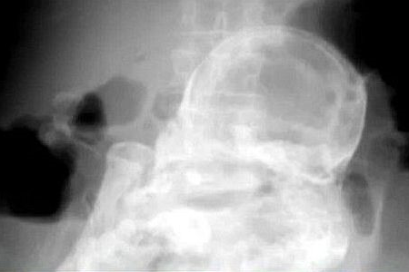
Sejak itu bayi terbabit dipercayai mengeras di dalam perutnya dan menjadi Foetus.
Foetus itu dikesan oleh doktor selepas melakukan imbasan x terhadap warga emas berkenaan yang mendakwa mengalami kesakitan di dalam perut.
Doktor yang melakukan pemeriksaan lanjut meminta pembedahan dilakukan namun wanita terbabit enggan mengeluarkan bayi yang dikandungnya sejak 44 tahun lalu.
Doktor selain itu akan turut melakukan pemeriksaan lanjut bagi mengetahui tahap pengerasan bayi itu kerana bimbang akan memberikan komplikasi kesihatan kepada wanita terbabit.


