SEORANG lelaki nyaris maut akibat serangan strok ketika melakukan onani, menurut laporan kes perubatan.
Lelaki warga Jepun itu mengalami sakit kepala dan mula muntah-muntah sebelum dikejarkan ke hospital.
Doktor mendakwa pesakit berusia 51 tahun itu melakukan onani beberapa kali sehari.
Bagaimanapun, tabiatnya nyaris mengundang maut tahun lalu kerana diserang strok selepas ejakulasi.
[Sertai fan club Telegram mStar Rojer. Kita boleh borak-borak DI SINI]
Doktor mendapati lelaki berkenaan mengalami tekanan darah rendah dan kebingungan, dua tanda yang membawa kepada strok.
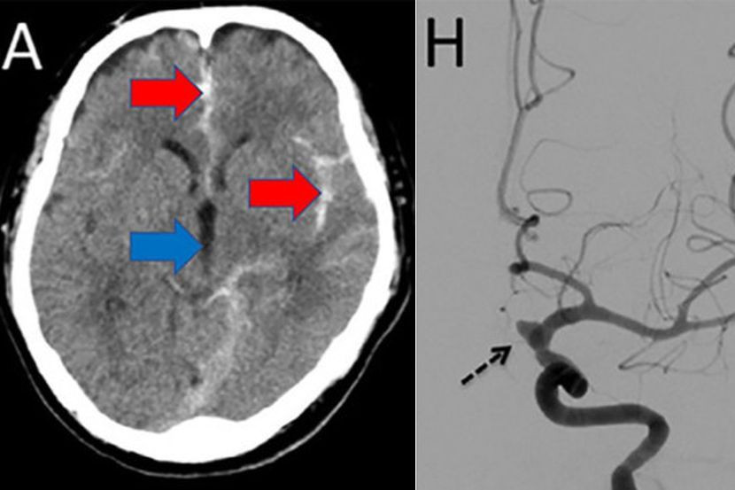
Pakar perubatan menjalankan imbasan tomografi berkomputer (CT scan) terhadap otaknya bagi mengetahui punca simptom yang dialaminya.
Keputusan mendapati dia mengalami pendarahan subarachnoid - sejenis strok yang mengancam nyawa yang disebabkan oleh pembuluh darah pecah dalam otaknya.
Lelaki tersebut dirawat dan discaj selepas hampir dua minggu berada di hospital. - Mail Online
Nak tengok ke posting kelakar dan macam-macam komen? Follow kami di Instagram!


