SEORANG lelaki dimasukkan ke hospital kerana mengalami jangkitan kulat yang teruk pada paru-parunya, dipercayai akibat perbuatan menghidu stoking pada setiap hari.
Dilaporkan, lelaki dari Zhangzhou, China itu akan mencium stokingnya setelah habis bekerja setiap hari.
Dia akan pulang ke rumah dan menukar kepada pakaian yang lebih selesa tetapi akan menghidu stoking yang dipakainya sepanjang hari.
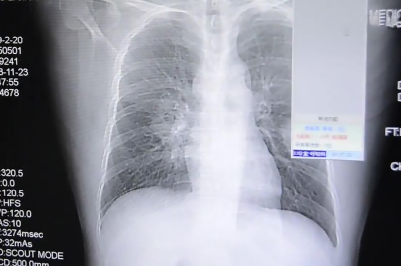
Sinar X yang menunjukkan jangkitan kulat pada paru-paru lelaki terbabit. - AsiaWire
Dia mendapat jangkitan itu daripada kulat yang terbentuk di kasutnya kerana disebabkan oleh peluh.
Jangkitan itu kemudian merebak ke bahagian paru-parunya.
Lelaki itu dimasukkan ke hospital sebagai kes kecemasan dan sinar X yang dilakukan mengesahkan bahawa dia mengalami jangkitan paru-paru yang teruk.
Laporan perubatan mengesahkan ia berpunca daripada tabiatnya menghidu stoking sendiri. - Mirror UK


