SEORANG lelaki terpaksa dibawa oleh isterinya ke bahagian kecemasan kerana sembelit dan sakit yang teruk, gara-gara terdapat botol air besar tersumbat dalam duburnya selama tiga hari.
Lelaki warga Iran itu dikejarkan ke hospital kerana mengalami anoreksia, sakit perut dan tidak dapat membuang air besar.
Namun menurut laporan kes kilnikal yang diterbitkan oleh Perpustakaan Dalam Talian Wiley, pesakit berusia 50 tahun itu mempunyai sejarah kemurungan.
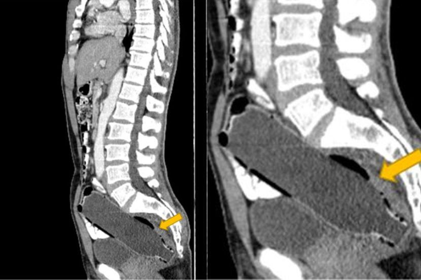
Laporan itu menyatakan bahawa lelaki berkenaan tidak kelihatan sakit apabila pemeriksaan pertama pada Februari, tetapi imbasan ultrasound mengesan bendasing tersumbat dalam duburnya.
Botol bersaiz 193 milimeter (mm) panjang dan 47mm dan berada 'di kawasan 10mm dari persimpangan anorektal tanpa sebarang tebukan yang jelas'.
ARTIKEL BERKAITAN: Dua hari tanggung sakit bola plastik tersekat dalam dubur, lelaki warga emas dakwa nak rawat buasir
Dia menjalani pembedahan di mana botol tersebut berjaya dikeluarkan tanpa sebarang kesan 'pecah' atau pendarahan.
"Disebabkan malu dan takut kepada isteri, dia tidak memberikan sebarang sejarah kehadiran bendasing di bahagian dubur dan lewat tiba di jabatan kecemasan," menurut laporan itu.
Pesakit yang dirujuk kepada pakar psikiatri, dimasukkan ke hospital selama lima hari, dan pemeriksaan susulan tidak menunjukkan bukti pendarahan atau kecederaan.
Laporan itu menambah bahawa kebanyakan bendasing yang dimasukkan ke dalam dubur untuk kepuasan seksual. - Daily Star
Dapatkan info dengan mudah dan pantas! Join grup Telegram mStar DI SINI


