RAMAI yang menganggap biji-biji kecil yang tumbuh bak 'cendawan selepas hujan' di muka dianggap jerawat atau alahan.
Hakikatnya biji-biji yang menjadi 'hiasan' itu sebenarnya berlainan masalah.
Ia boleh menyebabkan penampilan wajah kita agak tidak sempurna dek kerana dihinggap masalah ini.
ARTIKEL BERKAITAN: Sambil gosok gigi jangan lupa 'singgah' ke lidah... elak mulut berbau
Menurut Dr Siti Norbazilah Mohamed Zain, terdapat pelbagai nama kepada masalah kulit ini walaupun tampak sama.
Malahan, rawatannya juga berbeza-beza.
Milia

Milia mengandungi keratin yang terkumpul.
Merupakan benjolan kecil berwarna putih kekuningan yang mengandungi keratin yang terkumpul di bawah kulit.
Ia biasa terjadi pada semua peringkat umur dan di kawasan muka terutamanya di sekitar mata dan pipi.
Terdapat pelbagai jenis milia dan kebiasaannya tanpa rawatan pun ia akan hilang sendiri dalam beberapa bulan.
Syringoma

Syringoma berpunca daripada kalenjar peluh.
Syringoma adalah biji-biji yang tumbuh selalunya di sekitar mata dan berasal daripada kelenjar peluh (eccrine).
Warnanya seperti warna kulit, bersaiz kecil dan kebiasaannya tumbuh secara berkumpulan.
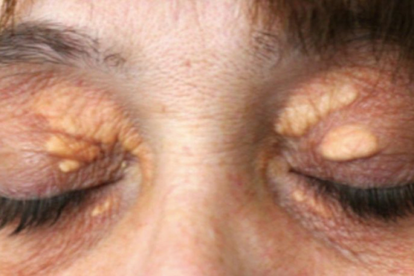
Xanthelasma
Ianya adalah lapisan berwarna kekuningan yang sering terjadi di kelopak mata disebabkan oleh pengumpulan lemak di dalam sel macrofag di kulit.
Kebiasaannya ia hadir secara simetri di kedua-dua belah kelopak mata. Ia boleh menjadi semakin besar jika tidak dirawat.
Tidak seperti mitos yang anda harus mempunyai kadar lemak tinggi di dalam darah baru xanthelasma boleh terjadi. Terdapat orang yang kadar lemaknya normal, namun masih mendapat xanthelasma.
Sebaceous hyperlasia

Sebaceous hyperlasia timbul di bahagian dahi.
Ia adalah sejenis biji-biji yang tumbuh di permukaan kulit muka dan berwarna kuning.
Nak macam-macam info? Join grup Telegram mStar!


