SEGUMPAL rambut seberat 1.5 kilogram terpaksa dikeluarkan dari perut seorang kanak-kanak perempuan, gara-gara tabiatnya suka mengunyah rambut sendiri selama beberapa tahun.
Budak berusia lapan tahun yang dikenali sebagai Feifei memakan rambut sendiri sejak usianya baru dua tahun.
Dia memberitahu ibunya mengenai tabiat itu dihentikan pada awal tahun ini.
Bagaimanapun, dia sakit selama seminggu pada awal Februari lalu, dengan simptom muntah dan sakit perut yang teruk.
Dia kemudian dikejarkan ke Hospital Donghua di Guandong di selatan China untuk menjalani rawatan.
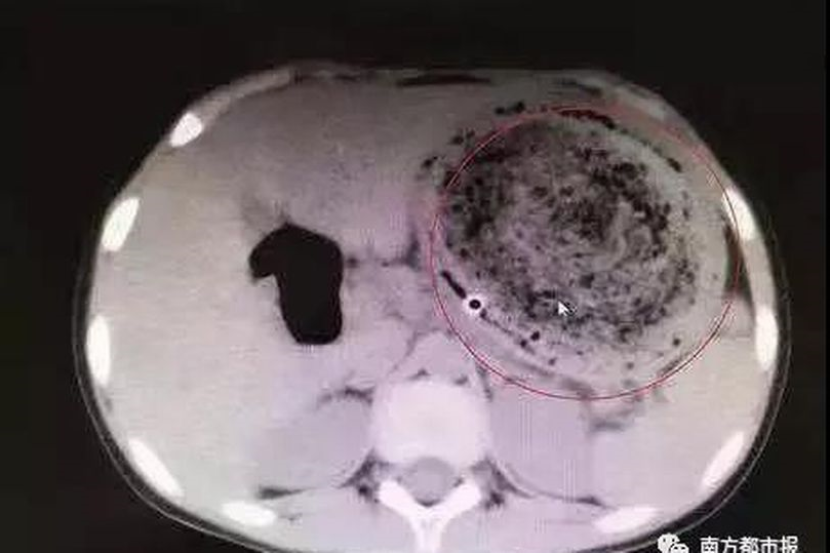
Memetik laporan Southern Metropolitan Daily, Dr Tang Shilong melakukan rawatan pada perut Feifei dan tidak menemui sisa makanan.
Menerusi imbasan yang dilakukan, doktor terkejut apabila segumpal rambut yang besar dikesan di dalam perutnya.
Bagaimanapun, ia tidak boleh dikeluarkan melalui endoskopi kerana ia menunjukkan tanda-tanda penyerapan.
Dr Tang terpaksa melakukan pembedahan dan mengeluarkan gumpalan rambut itu dari perut Feifei.
"Gumpalan rambut ini pastinya sudah berada dalam perut selama bertahun-tahun. Kebiasaannya makan rambut adalah gejala gangguan makan yang menyebabkan seseorang itu mempunyai kecenderungan untuk makan benda bukan makanan," jelasnya. - Mirror UK


